Radiography In Horses
mobile equine large animal veterinarian performing x-ray on right front of horse in barn imaging bone on to film horse hoof standing on imaging plate with film held behind leg equine health vet visit
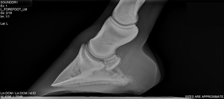
Radiographs vs. MRI Show Limited Hoof Measurement Agreement 
X-ray of the upper jaw or maxilla of a horse, dorso-ventral view in blue
Imaging Techniques for Equine Maxillary Cheek Teeth 
The side view of a rider in jeans, cowboy chaps and checkered shirt on a reining horse slides to a stop in the red clay an arena
Fetlock Radiographs: No Association Between Lameness, Pathology  
AdobeStock_131334434
10 Radiographic Prepurchase Abnormalities in Sport Horses 
beautiful bay horse
Is That Horse’s Radiographic Neck Lesion Important?  
mobile equine large animal veterinarian performing x-ray on right front of horse in barn imaging bone on to film horse hoof standing on imaging plate with film held behind leg equine health vet visit
Disease Du Jour: Equine Radiography in the Field
portrait of horse
Techniques for Taking Good Neck Radiographs in Horses 
Hoof-rad-courtesy-Dr
Tips and Tricks to Acquiring Great Equine Foot Radiographs  
Cayman Island Eight Mile Beach AAEP Resort Symposium 2017
2017 AAEP Resort Symposium on Sporthorses Report
Trending ARticles
The front view of a rider in jeans, cowboy chaps and checkered shirt on a reining horse slides to a stop in the red clay an arena
Biota Orientalis: Promising Supplement for Horses With Osteoarthritis
Equine Veterinarian pre purchase exam sound horse
The Cost of Public Judgment in Veterinary Medicine
Doctor, hands and laptop in healthcare research, browsing or searching online for medical data at night in a hospital
Tips to Help Equine Veterinary Practices Manage Online Reputations
Researchers use a rasp line to measure growth
Field Study Links Balanced Diet With Omneity® to Improved Hoof Growth in Friesians
Newsletter

"*" indicates required fields

This field is for validation purposes and should be left unchanged.
Name*
Country*

Additional Offers

Untitled
EquiManagement
Privacy Overview

This website uses cookies so that we can provide you with the best user experience possible. Cookie information is stored in your browser and performs functions such as recognising you when you return to our website and helping our team to understand which sections of the website you find most interesting and useful.